How To Tell If I Have Blood Cancer - Blood Cancers Types And Treatment Options Ctca : Fever is rarely an early symptom of cancer, but it may.
Dapatkan link
Facebook
X
Pinterest
Email
Aplikasi Lainnya
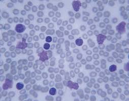
How To Tell If I Have Blood Cancer - Blood Cancers Types And Treatment Options Ctca : Fever is rarely an early symptom of cancer, but it may.. While breast cancer blood marker tests are promising, they're not absolutely conclusive. Blood cancer symptoms vary depending on the type of blood cancer, whether it's leukaemia, lymphoma, myeloma, mds, mpn or any other blood cancer. Also look for any loose teeth, as this can also be an indication of mouth cancer. Most people with these symptoms do not have bowel cancer. A biopsy will tell if it's cancer or not.
In the uk, an estimated 7 million people have blood in the stools each year. Blood tests alone cannot diagnose cancer Some common signs of metastatic cancer include: If cancer is suspected, blood tests may be ordered. Cancer is a complex condition that does not have a single cause.
Pictures Of Rashes And Bruises From Leukemia from i0.wp.com Most people with these symptoms do not have bowel cancer. One good way to tell if the alignment of your teeth has changed is to try wearing your dentures (if you use them). A cancer can grow into,or begin to push on nearby organs, blood vessels, and nerves. Coughing up mucus tinged with blood blood in stools or urine lump in the. Blood cancer symptoms vary depending on the type of blood cancer, whether it's leukaemia, lymphoma, myeloma, mds, mpn or any other blood cancer. Chemotherapy, radiation therapy, surgery, bone marrow transplantation and immunotherapy may all cause fatigue. As the vast majority of people with bowel cancer are over the age of 60, these symptoms are more important as people get older. This common blood test measures the amount of various types of blood cells in a sample of your blood.
Most people with these symptoms do not have bowel cancer.
Blood cancers may be detected using this test if too many or too few of a type of blood cell or abnormal cells are found. However, higher concentrations of these proteins in the blood have been found to be 98% accurate at diagnosing lung cancer, and blood testing is less invasive than methods like a biopsy. And some people have no symptoms at all. While no blood test can diagnose cancer, some blood tests can aid in the diagnosis of cancer. I too have just had conformation i have cancer in my left breast and investigations into two lymph nodes on the same side that look malignant. Pain and fractures, when cancer has spread to the bone headache, seizures, or dizziness, when cancer has spread to the brain shortness of breath, when cancer has spread to the lung This pressure causes some of the signs and symptoms of cancer. Not only is it difficult to hear the words, but many owners struggle with understanding the process of their disease and when it's actually time to let them go. The metabolic processes of tumors can also contribute to fatigue. Irritation or dimpling of breast skin. The techniques to monitor responses can be similar to the tests used to diagnose cancer. A change in bowel habits can include constipation, looser poo or pooing more often. A bone marrow biopsy may help confirm a diagnosis of a blood cancer.
This common blood test measures the amount of various types of blood cells in a sample of your blood. I know this post is from some time ago but i was wondering how you are geting on, hope you are ok and recovering. Fever is rarely an early symptom of cancer, but it may. In this article we will help you understand the diagnosis of cancer in dogs. Some common signs of metastatic cancer include:
Signs And Symptoms Of Leukaemia Leukaemia Care from media.leukaemiacare.org.uk There are also blood tests used to screen for cancer or monitor the return of cancer after treatment. Different people have different symptoms of breast cancer. If cancer has already been diagnosed, they are also done to get a sense of a person's overall health and to help tell if the cancer might have spread to other areas. Weight loss that is unexplained bruising or bleeding that is unexplained It's usually a sign that the cancer has spread or that it's in an advanced stage. A biopsy will tell if it's cancer or not. Some warning signs of breast cancer are— new lump in the breast or underarm (armpit). Your doctor may order a blood marker test to help diagnose and manage breast cancer.
When dealing with cancer, finding the most effective treatments as early on as possible can be vital.a new blood test could help doctors determine just that.
Help diagnose some blood cancers, such as leukemia and lymphoma find out if cancer has spread to the bone marrow see how a person's body is handling cancer treatment A bone marrow biopsy may help confirm a diagnosis of a blood cancer. A biopsy will tell if it's cancer or not. The doctor also may order lab tests, imaging tests (scans), or other tests or procedures. If cancer has already been diagnosed, they are also done to get a sense of a person's overall health and to help tell if the cancer might have spread to other areas. Ddt or parathion) that have been banned in some western countries as these are cheaper and really do the job. Blood tests alone cannot diagnose cancer Some people do not have any signs or symptoms at all. Weight loss that is unexplained bruising or bleeding that is unexplained This common blood test measures the amount of various types of blood cells in a sample of your blood. While no blood test can diagnose cancer, some blood tests can aid in the diagnosis of cancer. One good way to tell if the alignment of your teeth has changed is to try wearing your dentures (if you use them). Lab tests cannot show for sure if a person has kidney cancer, but they can sometimes give the first hint that there may be a kidney problem.
Coughing up mucus tinged with blood blood in stools or urine lump in the. Some common symptoms that may occur with cancer are as follows: Lab tests cannot show for sure if a person has kidney cancer, but they can sometimes give the first hint that there may be a kidney problem. Different people have different symptoms of breast cancer. Help diagnose some blood cancers, such as leukemia and lymphoma find out if cancer has spread to the bone marrow see how a person's body is handling cancer treatment
What Does It Mean To Have Inoperable Cancer Dana Farber from blog.dana-farber.org Blood tests alone cannot diagnose cancer To do a biopsy, your doctor uses a small, thin needle to take a little sample from the lump, and maybe other places around it. Lab tests cannot show for sure if a person has kidney cancer, but they can sometimes give the first hint that there may be a kidney problem. Some cancers lead to fatigue by disrupting normal hormone functioning. It's usually a sign that the cancer has spread or that it's in an advanced stage. Some common signs of metastatic cancer include: Different people have different symptoms of breast cancer. The metabolic processes of tumors can also contribute to fatigue.
They could be symptoms of lung cancer or head and neck cancer.
Blood tests alone cannot diagnose cancer The doctor also may order lab tests, imaging tests (scans), or other tests or procedures. Scientists have come up with a way of analyzing blood that tells them within 24 hours whether or not targeted cancer therapy (aimed directly at specific molecules) is having an effect on tumor growth. This pressure causes some of the signs and symptoms of cancer. However, higher concentrations of these proteins in the blood have been found to be 98% accurate at diagnosing lung cancer, and blood testing is less invasive than methods like a biopsy. People who have cancer will often have a fever as a symptom. I know this post is from some time ago but i was wondering how you are geting on, hope you are ok and recovering. Coughing up mucus tinged with blood blood in stools or urine lump in the. Thickening or swelling of part of the breast. Ddt or parathion) that have been banned in some western countries as these are cheaper and really do the job. The techniques to monitor responses can be similar to the tests used to diagnose cancer. Blood cancer symptoms vary depending on the type of blood cancer, whether it's leukaemia, lymphoma, myeloma, mds, mpn or any other blood cancer. A change in bowel habits can include constipation, looser poo or pooing more often.
How To Make Playing Card Holders / DIY Playing Card Holder — All for the Boys - To keep the corners and body of the playing cards from being damaged, make a card holder from plastic canvas material. . Wood canasta card holer, playing card holder!canasta card holder with splash card rules wood burned on it! I love playing games, and this diy playing card holder for kids enables my younger kids to play with me. All of these money holder card tutorials can be tailored for any occasion… we're getting the party started this week with christmas in july by learning how to make money holder cards. These can be used to hold playing cards for someone with problems holding cards (such as a missing hand, arthritis, poor dexterity, etc.) some of the other assistive card holders (like the o. Are you excited to be able to begin playing cards with your. This video tutorial will show you how to make this playing card gift box, fold after fold. Easy project to do yourself. To keep...
Surat edaran imbauan penipuan mengatasnamakan bumn. Admin rsudss september 06, 2021 sultan suriansyah. Surat edaran double degree 2019.pdf: View all kegiatan vaksinasi di rsud sultan suriansyah. Pembelajaran teori pada semua zona wajib dilaksanakan secara daring sampai dengan akhir semester. Undangan bimtek rkb gelombang 4 tahun 2013 from image.slidesharecdn.com 23.02.2021 · surat edaran persiapan kegiatan pbm tatap muka praktikum/praktik klinik/praktik lapangan semester genap ta. Surat edaran double degree 2019.pdf: (kemendikbud, kemenag, kemenkes dan kemendagri), menerangkan bahwa: Pengumuman penundaan hasil seleksi administrasi selter jpt_tahun 2020. Pembelajaran teori pada semua zona wajib dilaksanakan secara daring sampai dengan akhir semester. Surat edaran tugas belajar tahun 2020. Bagikan di facebook bagikan di whatsapp bagikan di l...
Make Save The Date Cards - Rustic Wood Save The Date Cards By Basic Invite / Create your own save the date cards at shutterfly. . Just open your save the date card and paste your email guest list right into our share feature. Save the dates from vistaprint will help you announce your big day in a big way. Create custom save the date cards or postcards that will get your guests excited for your upcoming wedding. Tell your nearest and dearest to mark their calendars with a save the date invitation from evite. Let adobe spark be your save the date card design expert. How to make your own save the date cards. Fun and unique, save the dates announce the date of your upcoming quinceañera while showcasing your style. Order a rubber stamp with your details on it, then use white ink to stamp black postcards. Send your save the date card any way you like canva makes creating beautiful cards simple, but sending them is even easier. A magnet save the date is a fun twist on the t...
Komentar
Posting Komentar